• 首页
  • 科室栏目
  • 产品中心
  • 新闻中心
  • 政策法规
  • 客户服务
  • 关于我们
  • 网上商城
   栏目导航  /  News
  • 收藏宝典
  • 专业会议
  • 招标公示
  • 导师团队
  • 招聘信息
  • 找代理
  • 医械商机
  • 技术支持
  • 找专家
  • 找售后
  • 找资金
  • 找科室
  • 找工作
  • 找企业
  • 医院风采
  • 医械讲堂
  • 视频课件
  • 应聘信息
  • 中标公示
医械锟斤拷锟斤拷 /  about us
您现在的位置是:首页- 医械锟斤拷锟斤拷
罕见:右上腹可触及的包块,竟是胰管!
发布人:网站管理员 发布时间:2018/11/12 点击:65次

解剖学常识告诉我们,胰腺位于腹腔深部,在腹部浅表一般无法触及胰腺;而想要在体表触及胰管更是天方夜谭。


然而,Hernandez 医生等曾在 Surgery 杂志上发表文章称,他们遇到了一例罕见的病例,查体可在体表轻易触及患者的胰管。


病例展示


患者男性,21 岁,因「间断腹痛一年、体重减轻 20 磅、右腹部触及疼痛性包块一月」为主诉收入院。既往病史无特殊,有胰腺癌家族史。


体格检查发现右上腹有一质软肿物(图 1)。



图 1  体检发现右上腹包块(黄色星号所示)


实验室检查结果:碱性磷酸酶:421U/L,谷草转氨酶:229 U/L,谷丙转氨酶:109 U/L,总胆红素:0.6 mg/dL。


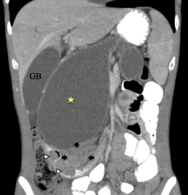
腹部 CT 结果显示: 右腹部见一充满液体的囊性结构(图 2)。



图 2  CT 显示右腹部有一液性包块(黄色星号),可见壶腹部肿物(黑色箭头)侵犯十二指肠(白色箭头)。注释:GB,胆囊


事实上,该囊性结构其实为扩张的胰管。因壶腹部肿物侵犯了十二指肠,导致继发性胰管扩张。


患者行超声内镜检查后证实,十二指肠腔中有一来源于壶腹的 4 cm 肿物。


随后予施行胰十二指肠切除术,术中证实为肿瘤堵塞胰管,导致胰管直径扩张至 17 cm,伴有腺体肥大(图 3)。



图 3 术中所见,离断胰腺见严重扩张的胰管以及周围肥大腺体


大体检查标本提示为壶腹部肿瘤,侵犯大、小乳头(图 4)。



图 4  大体标本提示扩张的胰管(星号),壶腹部肿瘤,以及切除的十二指肠(方框内)


病理结果证实为:胰胆管型浸润癌(图 5)。



图 5 病理切片显示壶腹部肿瘤为胰胆管型,侵犯十二指肠


延伸阅读


壶腹癌是生长在 Vater 壶腹、十二指肠乳头、胆总管下端、胰管开口处、十二指肠内侧壁癌的总称。为临床上较为少见的消化道恶性肿瘤,其发病率不到消化道肿瘤的 1%。


壶腹癌可能遵循「腺瘤-上皮内瘤变-局部恶变-腺癌」这一转化过程。根据腺癌的来源,壶腹部腺癌分为「肠型」和「胰胆管型」两类,主要区别如下:


1. 肠型腺癌起源于十二指肠粘膜,胰胆管型腺癌则起源于胰胆管上皮,特点是有乳头状突起伴散在纤维化,胞质清晰。


2. 研究表明,胰胆管型十二指肠乳头癌发生率(44.8%)远超过肠型(26.9%)。


3. 就预后而言,肠型十二指肠乳头癌通常体积较小,预后较好,而胰胆管型十二指肠乳头癌,由于其病理表现出来的低分化、较高的淋巴结转移率、和周围神经侵犯,导致其预后相对较差。


无论哪种分型,手术切除都是首选治疗方案。另外,值得注意的是,新辅助放化疗可以使 67% 的患者降期,在 23% 的患者中可以达到完全应答。此外,胰腺癌患者的新辅助治疗标准也可应用于壶腹癌患者。

电话:0351-5252561
公司地址:北京市朝阳区来广营西路55号瑞凰国际家居商城四层401号
Copyright©2018-2019 北京涵泰科技有限公司

技术支持:天祥网络