• 首页
  • 科室栏目
  • 产品中心
  • 新闻中心
  • 政策法规
  • 客户服务
  • 关于我们
  • 网上商城
   栏目导航  /  News
  • 收藏宝典
  • 专业会议
  • 招标公示
  • 导师团队
  • 招聘信息
  • 找代理
  • 医械商机
  • 技术支持
  • 找专家
  • 找售后
  • 找资金
  • 找科室
  • 找工作
  • 找企业
  • 医院风采
  • 医械讲堂
  • 视频课件
  • 应聘信息
  • 中标公示
医械锟斤拷锟斤拷 /  about us
您现在的位置是:首页- 医械锟斤拷锟斤拷
工作多年,这类急腹症首次遇到,好在及时转诊!
发布人:网站管理员 发布时间:2018/9/3 点击:78次

男性患者,60 岁,商人,上腹疼痛进行性加重 2 天。

患者 2 天前饱食后出现上腹部疼痛,呈持续性胀痛,阵发性加剧,程度较剧烈,发作无明显规律性,疼痛无向他处放射,有恶心,无呕吐,间有胸闷、心悸,无胸痛。无反酸、嗳气,无排黑便、血便,无便秘、腹泻,无黄疸、发热,无尿频、尿急、肉眼血尿。

今到我院急诊就诊,查血常规:白细胞总数(WBC)12.8 10^9/L ↑,中性粒细胞百分率(NE%)88.6 % ↑。

予止痛、抗感染、对症等处理。但上述症状未见缓解,现为进一步诊治,急诊拟腹痛查因收住我科。入院时患者病情急诊,起病以来,精神、胃纳、睡眠较差,小便正常,近期体重未见明显减轻。

平素健康状况体健,否认病毒性肝炎肺结核病史,否认高血压、糖尿病、高血脂病史,既往有冠状动脉性心脏病史。曾在外院行冠脉造影+冠脉扩张治疗,否认脑血管疾病史,否认精神病史、地方病史、职业病史。否认外伤、输血、中毒、手术史,预防接种史不详。

生命征:体温 37℃ ,脉搏67 次/分 ,呼吸19 次/分,血压164/102mmHg ,疼痛评分 4 分。一般状况:发育正力型,营养良好,急性面容,痛苦表情,自主体位,神志清醒,检查合作。腹膨隆,腹肌稍紧张,上腹部有压痛及反跳痛,肝区无压痛,肝浊音界位置正常,肝脾肋下未触及肿大,墨菲氏征阴性,无移动性浊音。双肾区无压痛及叩痛,肠鸣音减弱,未闻及血管杂音。双下肢无浮肿。 

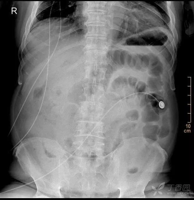
急诊科辅助检查 :

急诊平扫 CT:

初步诊断: 

1. 腹痛查因

2. 肠梗阻

3. 2型糖尿病

4. 冠心病

21:00,由急诊入院,如果你是夜班医生,如何处理?

大家别被我的开头和题目误导,只是我的见识少,没遇到过这种原因,当晚重视这个急腹症的原因是:患者疼痛辗转难眠两晚了、曲马多止痛没有效果、CT 看到局部小肠水肿明显。

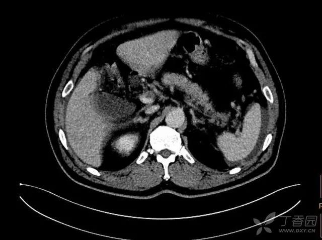
入院后,初步判断患者的症状重于体征和目前检查结果,先胃管,见黑色的胃液 350ml,立即申请增强 CT,需要等 CT 室的工作人员回来。

看看增强 CT 图片,能发现问题吗?

动脉期:

门静脉期:

入院后的相关检查结果:

结合现有资料,基本上可以明确诊断了,考考大家眼力!

诊断呼之欲出,接下来的治疗原则是什么呢?

电话:0351-5252561
公司地址:北京市朝阳区来广营西路55号瑞凰国际家居商城四层401号
Copyright©2018-2019 北京涵泰科技有限公司

技术支持:天祥网络