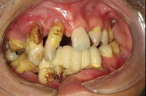
第三次全国口腔健康流行病学抽样调查结果显示,所调查的年龄组的牙结石检出率如下:
12岁年龄组:59%
35-44岁年龄组:97.3%
65-74岁年龄组:88.7%
人生最大的痛苦莫过于
人在,钱在,牙齿没有了
国人口腔环境触目惊心!
牙周,你真的重视了吗?

你以为牙齿只要拔了掉了就能万事大吉?
像童话里的王子公主、TVB港剧里的happy ending?
拔完牙后需不需要镶/种牙?什么时候镶/种?
答案都在文章中哦!

有人认为把患牙拔了,牙齿不痛就没事了
也会有患者问医生
“大夫,我多长时间后可镶牙?”
首先看一下不及时镶牙导致的后果
其次是缺牙后多长时间修复适宜
不良后果

咀嚼困难、食物嵌塞、邻牙倾斜
对牙合牙伸长、咬合紊乱

下颌骨(内侧面)
颞下颌关节疾病

影响发音

面容苍老

影响美观(前牙)

牙槽嵴吸收

牙周病

龋病
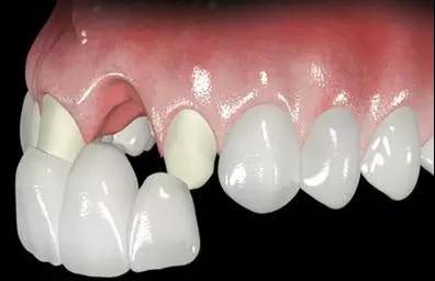
缺牙后多久修复
修复一般在拔牙2~3个月后进行
拔牙前须考虑好以后镶假牙的设计问题

(图为镶假牙)
拔牙1个月后可以镶活动义齿

(图为活动义齿)
2~3个月后可镶固定义齿

(图为固定假牙)
半年后才能种植牙

(图为种植牙)
迫切希望拔牙后就能镶假牙的患者
可以采用“即刻义齿”技术
而对于希望镶“种植义齿”的患者
则需要等待更长的时间(半年至一年)