有次出门诊,一位50多岁的患者拿着一份膝关节核磁片子,紧张的问我:
“大夫,我前两天外出旅游,爬山多了,膝关节出现疼痛,做核磁检查,报告上说‘内侧半月板后角撕裂’, 需要手术吗?”
询问病史发现,她走路时并不疼,仅仅是上下楼梯时疼痛,也没有关节弹响和交锁这些半月板损伤的症状。
此外,查体时,关节线的压痛、麦氏征阳性、蹲走试验阳性这些半月板损伤的典型体征她更是一个没有。
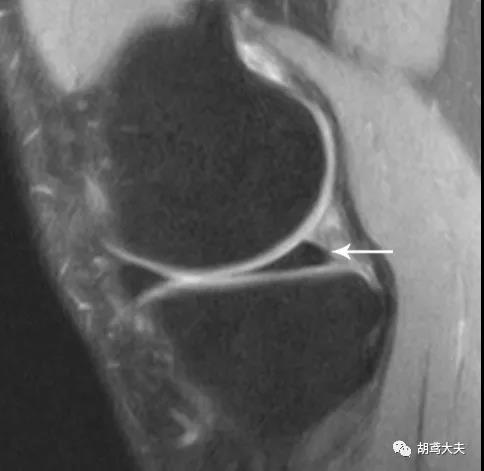
再来看片子,先看正常的:

正常的半月板后角如图(箭头所指黑色三角形)
她的片子是这样的:

注意她的半月板后角里有一条白色的线(红箭头所指)
如果半月板撕裂了,关节中的关节液就会渗入到裂隙中,核磁上半月板里就会出现和关节腔相连的这种白色的细线。
由此看来,她确实是有半月板撕裂。
然而现在却有一个疑问,患者的核磁检查明确显示半月板撕裂了,但她的症状和体征却缺乏相关的临床表现,这种情况下,能断定半月板撕裂是她疼痛的原因吗?
回答这个问题前,让我们先看一个有意思的研究。
这个研究是将100名只有一侧膝关节有症状,怀疑有半月板撕裂的患者,进行双侧膝关节的核磁检查。(为了叙述方便,医学上把有症状的一侧叫患侧,无症状的一侧叫健侧。)
结果发现,其中的57位患者,患侧的膝关节的确是有半月板撕裂。
然后重点来了:核磁还发现,这57位患者中,居然有36位健侧膝关节也有明确的半月板撕裂。要知道,这一侧的膝关节可是完全没有症状的!
试想一下,如果这57患者,先做了健侧的核磁,而且根据片子就把有异常的都扣上半月板撕裂的帽子,那这误诊率得是多少?
很简单,就是36除以57,等于63%!!!
这个误诊率已经超过抛硬币(50%)了。
所以,千万别以为有了核磁报告的加持,就可以妥妥的找出真相。
回到开头的这个患者,她已经50多岁了,半月板用到这个岁数,一直在老化和磨损,到了一定程度就可能破损、撕裂,而机体已经慢慢适应了这种状况,所以通常很少会有症状。
而无症状的半月板撕裂,在45岁以上人群,是一个比较常见的现象,有研究发现这个比例会高达36%。对于这部分人,诊断为半月板退变更合适。
现在来回答之前的那个问题,虽然患者的核磁检查明确显示半月板撕裂,但由于缺乏相关症状和体征,因此不能认为半月板撕裂是她疼痛的病因。
其实她就是爬山多了膝关节有点儿炎症反应,适当休息,服用了几天的抗炎镇痛药,疼痛就完全缓解了。现在好几年过去,膝关节没有任何症状。
由此可见,不能一看到片子上有半月板撕裂,就急着和疾病对号入座,因为对于没有相关症状的中老年人,半月板撕裂和关节骨刺、椎间盘突出一样,很多情况下是一种正常的退变(老化)现象。
如果把正常的退变都当成了疾病,那肯定整个人都会不好的。
怎样才能确定疾病是半月板撕裂导致的呢?
首先,必须要有半月板损伤的相关症状,如行走时的膝关节疼痛、绞锁或弹响等。
其次,查体要有相关的体征,比如关节线的按压、麦氏征、蹲走试验等能诱发出疼痛。
第三,才是影像学检查(片子)要显示半月板的撕裂。
只有症状、体征和影像检查这三项都对得上,才能坐实半月板撕裂是病因。
最后想说,疾病的诊断可不是简单的看图识物,而是一个逻辑严密的分析推理过程,需要详细的问病史、认真的查体、严谨的研读片子,结合医生丰富的临床经验,还要排除症状相似的疾病,才能最终确定病因。
因此请记住:图片,只能显示现象。分析,才能找出真相。
而医生看的可是病,不是图。
参考文献
1.Zanetti M, et al.
Patients with suspected meniscal tears: prevalence of abnormalities seen on MRI of 100 symptomatic and 100 contralateral asymptomatic knees. AJR Am J Roentgenol, 2003, 181(3):635-641.
2.Boden SD, et al.
A prospective and blinded investigation of magnetic resonance imaging of the knee. Abnormalfindings in asymptomatic subjects. Clin Orthop Relat Res. 1992 Sep;(282):177-185.