• 首页
  • 科室栏目
  • 产品中心
  • 新闻中心
  • 政策法规
  • 客户服务
  • 关于我们
  • 网上商城
   栏目导航  /  News
  • 收藏宝典
  • 专业会议
  • 招标公示
  • 导师团队
  • 招聘信息
  • 找代理
  • 医械商机
  • 技术支持
  • 找专家
  • 找售后
  • 找资金
  • 找科室
  • 找工作
  • 找企业
  • 医院风采
  • 医械讲堂
  • 视频课件
  • 应聘信息
  • 中标公示
医械锟斤拷锟斤拷 /  about us
您现在的位置是:首页- 医械锟斤拷锟斤拷
右下腹痛,鉴别诊断时容易漏掉这种病
发布人:网站管理员 发布时间:2019/5/23 点击:68次

来自梅奥诊所的 Finnesgard 医生在 Surgery 上分享了一个病例,警示临床医生,遇到右下腹痛的病例,在鉴别诊断分析时,切勿漏掉这种病。


令人尴尬的是:如果不是看到这个病例报道,我还不知道有这种病。不说了,看病例吧。


病例资料


患者,女,21 岁,G3P1。


主诉:腹痛 5 天,初为脐周痛,后转移至右下腹,伴恶心、呕吐、便秘。


追问病史,患者既往有长期恶心、厌食和滥用大麻史。


查体示患者血流动力学平稳,右下腹轻压痛,无肌卫及腹膜刺激征等体征。


辅助检查示:白细胞计数 15.8 ×10^9 /L,中性粒细胞绝对值 13.67×10^9 /L。


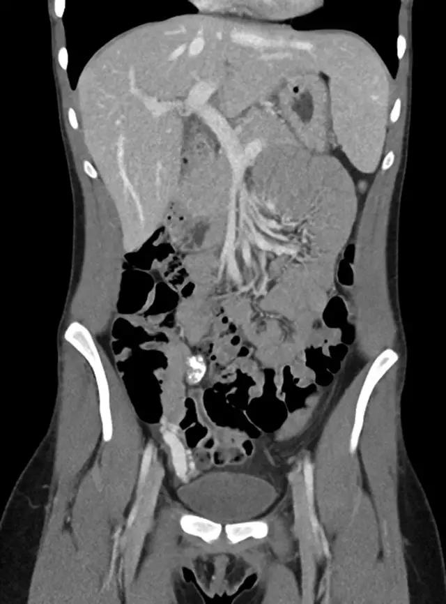
腹部超声未显示:阑尾异常及右下腹感染或积液征象。腹部 CT 见盆腔少量游离液体及阑尾钙化表现(图 1)。



图 1 腹部 CT 示右下腹钙化灶


初步诊断考虑阑尾粘液囊肿,拟行腹腔镜下阑尾切除术。


术中腔镜下见阑尾形态正常,回盲瓣近端 5 cm 处见一肿块(图 2)。未发现淋巴结肿大或可疑区域淋巴结。



图 2 腹腔镜下右下腹回肠末端包块


那么,该患者的诊断是什么呢?


病理诊断该肿块为浆膜下钙化性纤维性假瘤。



钙化性纤维性假瘤简介


钙化性纤维性假瘤(CFP)是一种少见的软组织良性纤维性肿瘤,多发生在颈部和四肢以及心包、腹膜、胸膜等,也可见于胃和肝脏,其发病机制不明。


发生在皮下软组织的 CFP 多表现为软组织包块,随着肿块增大,可出现压迫症状;而发生在腹腔的 CFP 可表现为腹痛和或腹部包块。


CFP 大体标本多表现为边界清晰的灰色肿块,质硬。典型的病理形态改变为胶原组织玻璃样变伴钙化和炎性浸润。


通过手术切除后多数 CFP 能治愈,有文献报道,部分患者切除后可复发。



经验教训


1.从术前典型症状看来,该病例很容易误诊为急性阑尾炎,而就其解剖位置看来,在 CT 上该病例与阑尾粘液囊肿难以鉴别。

2. CFP 也可发生在回肠壁,因此在右下腹钙化肿块的鉴别诊断中应该将 CFP 也考虑进来。

其实,这个病例之所以容易漏诊误诊,是因为大家在进行腹痛的鉴别诊断时,常只考虑腹腔内脏器(阑尾、肠道)的病变,却不容易考虑纤维组织(腹壁、肠壁等处)的病变。


能够意识到上面这一点,这篇文章就算达到目的了。



电话:0351-5252561
公司地址:北京市朝阳区来广营西路55号瑞凰国际家居商城四层401号
Copyright©2018-2019 北京涵泰科技有限公司

技术支持:天祥网络