• 首页
  • 科室栏目
  • 产品中心
  • 新闻中心
  • 政策法规
  • 客户服务
  • 关于我们
  • 网上商城
   栏目导航  /  News
  • 收藏宝典
  • 专业会议
  • 招标公示
  • 导师团队
  • 招聘信息
  • 找代理
  • 医械商机
  • 技术支持
  • 找专家
  • 找售后
  • 找资金
  • 找科室
  • 找工作
  • 找企业
  • 医院风采
  • 医械讲堂
  • 视频课件
  • 应聘信息
  • 中标公示
医械锟斤拷锟斤拷 /  about us
您现在的位置是:首页- 医械锟斤拷锟斤拷
罕见的胰腺巨大占位:pubmed 上仅检索到 10 例
发布人:网站管理员 发布时间:2019/4/28 点击:46次
1病例介绍

患者女性,30 岁,主诉腹胀伴自检发现腹部包块 20 余天,外院 CT 提示:中上腹巨大囊实性占位。


既往史、个人史、婚育史、家族史无殊。


查体:腹膨隆,中上腹可触及一大小约 10*4 cm 包块,质韧,活动度差,轻压痛,无反跳痛。


辅助检查:血生化、肿瘤指标、三大常规未见异常。


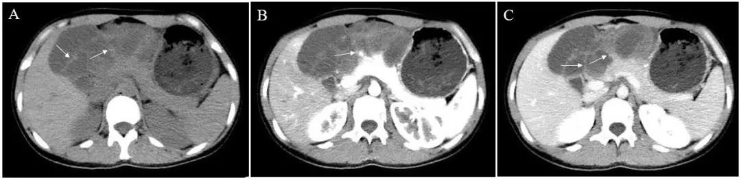
我院 CT 和 MRI 考虑胰腺囊腺瘤可能性大。(图 1)


图 1. 腹部增强 CT 显示胰颈体部囊实性占位,内有分隔 (A),分隔在增强期可见强化 (B 和 C)。


术中见:胰腺颈体部多房性囊实性肿块,大小:12×10×7.5 cm。侵犯横结肠系膜(结肠中动静脉根部),呈「癌脐」样改变。(图 2)


图 2. 术中见肿块位于胰颈体部,侵犯横结肠系膜 (A),大小约 12×10×7.5 c,表现为多房性、软而不规则。


行胰体尾切除。


术中冰冻:胰腺多房性良性囊性病变。


患者术后恢复顺利,于术后 12 天出院。


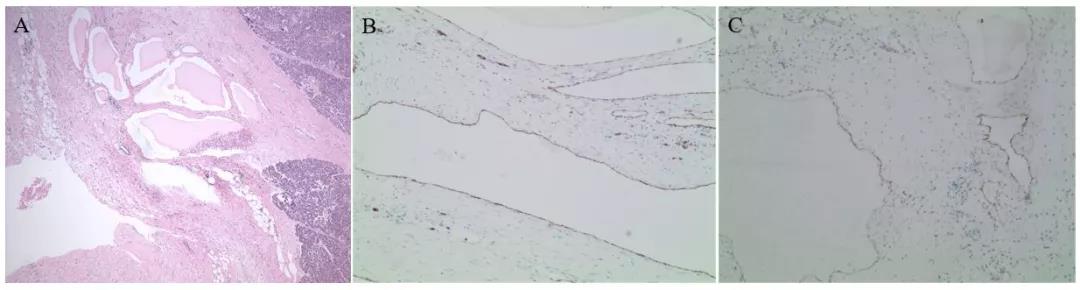
术后病理:胰腺血管淋巴管瘤。(图 3)随访 2 年患者无复发。


图 3. 组织病理学显示肿瘤由淋巴管和血管构成(HE 染色,×50)(A),血管内皮细胞表现为 CD31 阳性 (B),淋巴管内皮细胞表现为 D2-40 阳性 (C)。


2讨论

胰腺血管淋巴管瘤是一种罕见的胰腺良性肿瘤,由 Couinaud 在 1966 年首次报道,截至目前 Pubmed 检索到 10 例累及胰腺的血管淋巴管瘤。较多发生在女性,常见的位置是胰头部。


胰腺血管淋巴管瘤被认为是一种血管、淋巴管系统的先天性畸形。

肿瘤较小时患者一般无症状,当肿瘤增大后,患者表现为腹胀、腹痛和触及腹部包块;


影像学表现为囊实性占位,囊腔大小不一,囊腔间有分隔,增强时分隔可见强化;


组织学上该肿瘤由异常的淋巴管和血管组成,伴有多房性的囊腔。



胰腺血管淋巴管瘤虽然是一种良性肿瘤,但也可侵犯邻近的器官(如十二指肠和横结肠)。


术前诊断一般很困难,需与其他胰腺的囊实性肿瘤相鉴别,如囊腺瘤、囊腺癌、淋巴管瘤、IPMN  等。


手术完整切除是唯一手段。


手术方式根据肿瘤的位置来确定,常见的手术方式包括局部切除术、胰十二指肠切除术和胰体尾切除术,术后预后良好。


电话:0351-5252561
公司地址:北京市朝阳区来广营西路55号瑞凰国际家居商城四层401号
Copyright©2018-2019 北京涵泰科技有限公司

技术支持:天祥网络