• 首页
  • 科室栏目
  • 产品中心
  • 新闻中心
  • 政策法规
  • 客户服务
  • 关于我们
  • 网上商城
   栏目导航  /  News
  • 收藏宝典
  • 专业会议
  • 招标公示
  • 导师团队
  • 招聘信息
  • 找代理
  • 医械商机
  • 技术支持
  • 找专家
  • 找售后
  • 找资金
  • 找科室
  • 找工作
  • 找企业
  • 医院风采
  • 医械讲堂
  • 视频课件
  • 应聘信息
  • 中标公示
医械锟斤拷锟斤拷 /  about us
您现在的位置是:首页- 医械锟斤拷锟斤拷
腹腔镜左外叶切除术
发布人:网站管理员 发布时间:2019/4/28 点击:46次

病例介绍


患者彭**,男,47 岁。


主诉 :


腹部隐痛 4 月余。

现病史 :


患者 4 月前无明显诱因下出现中上腹部隐痛,阵发性,可忍,无放射性,不随体位改变变化,无腹胀,无恶心呕吐,无胸闷气急等不适,遂至当地医院。


肝胆脾胰、双肾输尿管膀胱超声示:肝内低回声,建议进一步检查;肝回声增粗;门脉主干内径稍增宽;右肾结晶;左肾囊肿。当时未予重视未治疗。

2 月后再次至当地医院复查,肝胆脾胰双肾、右下腹超声示:肝内低回声结节,建议进一步检查;肝回声增粗;右输尿管上段结石伴右肾肾窦分离;双肾结石可能;左肾囊肿可能。

患者为求进一步治疗,遂至我院门诊就诊,复查 B 超提示左肝占位 CA 考虑。建议手术治疗。

现患者稍感中上腹隐痛,稍感腹胀,无恶心呕吐,无胸闷气急等不适,为求手术治疗,拟「肝占位性病变(肝癌考虑)」收住入院。


既往史、过敏史、个人史、婚育史、家族史无殊。


入院查体 :


神清,精神可,皮肤巩膜未见明显黄染,浅表淋巴结未及明显肿大,两肺呼吸音清,未及明显干湿罗音,心律齐,未及明显心杂音,腹平软,中上腹轻压痛,无反跳痛,未及明显包块 ,Murphy 征阴性,移动性浊音阴性,神经系统检查阴性。


入院检查 :


肿瘤标志物检测:甲胎蛋白 2.1ng/mL,糖抗原 199 8.7U/ml,异常糖链糖蛋白(PIVKA-Ⅱ)730mAU/m。

乙肝三系定量+乙肝 DNA 扩增定量检测:HBV-DNA 1.16X10E4IU/mL,乙肝表面抗原(+),乙肝核心抗体(+),乙肝表面抗原(+)。


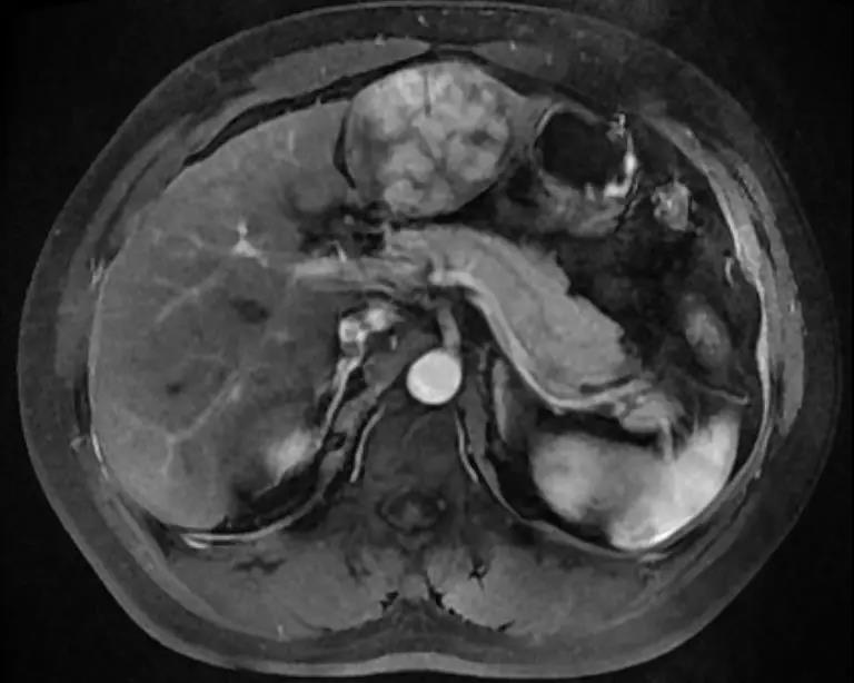
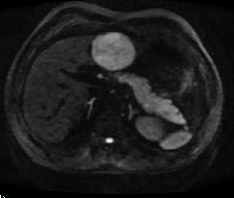
肝胆 MR 平扫弥散+增强:左肝内占位,肝癌首先考虑,请结合临床。附见:双肾囊肿。


动脉期

弥散相


诊断 :


肝占位性病变(肝癌考虑)。

电话:0351-5252561
公司地址:北京市朝阳区来广营西路55号瑞凰国际家居商城四层401号
Copyright©2018-2019 北京涵泰科技有限公司

技术支持:天祥网络