• 首页
  • 科室栏目
  • 产品中心
  • 新闻中心
  • 政策法规
  • 客户服务
  • 关于我们
  • 网上商城
   栏目导航  /  News
  • 收藏宝典
  • 专业会议
  • 招标公示
  • 导师团队
  • 招聘信息
  • 找代理
  • 医械商机
  • 技术支持
  • 找专家
  • 找售后
  • 找资金
  • 找科室
  • 找工作
  • 找企业
  • 医院风采
  • 医械讲堂
  • 视频课件
  • 应聘信息
  • 中标公示
医械锟斤拷锟斤拷 /  about us
您现在的位置是:首页- 医械锟斤拷锟斤拷
急诊室的常客:鱼刺
发布人:网站管理员 发布时间:2019/4/12 点击:67次

患者,女性,52 岁,因「误吞鱼刺 31 小时,枕部痛 24 小时」入院。


现病史


患者 31 小时前误吞鱼刺后感喉部疼痛,伴咳嗽咳痰,痰中带血,自行吞咽馒头及醋后疼痛缓解,于当地诊所就诊。予消炎药输液(具体不详),感症状进一步好转,仅吞咽时略有疼痛。


24 小时前出现枕部疼痛伴畏寒,无吞咽痛,无咳嗽咳痰,无胸闷气急,无腹痛腹胀,遂于当地医院就诊。


查食道 CT 平扫示:


1、胃小弯近胃窦区致密影,考虑异物(穿破胃壁、累及胰腺可能性大),建议胃镜检查  ;2、咽部、颈部、上纵隔肌间隙积气,考虑食管穿孔。


患者遂连夜前往我院急诊,当时无腹胀腹痛,无畏寒发热等不适。


急诊腹部 CT 平扫示:


胃小弯侧异物延续至胰腺体部,十二指肠异物考虑。


食道 CT 平扫示:


1 咽部、颈部、上纵隔肌间隙积气,考虑食管穿孔;2、两肺感染灶。


既往史


20 余年前人工流产,大出血,输血不详,恢复良好;1 年前患者胃溃疡,内科治疗;余无殊。



体格检查

无殊 。


急诊化验


血常规(急诊):白细胞计数 6.8×10E9/L,中性粒细胞 (%) 57.8%,红细胞计数 4.35×10E12/L,血红蛋白 135 g/L,血小板计数 273×10E9/L;超敏 C 反应蛋白测定(急诊)33.90 mg/L。


辅助检查


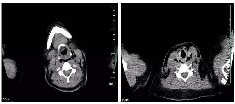
如图 1-3所示:


图 1:咽部、颈部、上纵隔肌间隙积气


普外科、胸外科、消化科共同会诊后认为患者目前一般情况可,炎症指标不高,来我院时无发热畏寒,食管穿孔、纵膈积气可予以严密观察,暂无特殊处理;因内镜无法处理已穿透胃壁的异物,遂最终决定普外科直接急诊手术,术中可能联合内镜治疗。  


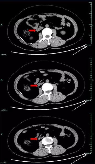
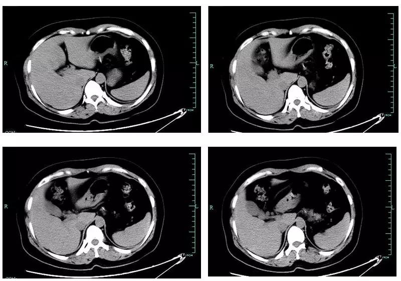
  图 2:腹部 CT 显示胃小弯侧异物延续至胰腺颈体部 


图 3:腹部 CT 提示十二指肠水平部异物(红色箭头表示异物)


急诊手术


取正中长约 15 cm 切口,逐层进腹探查:打开胃结肠韧带,发现胃后壁近小弯侧到胰腺颈体部之间局部组织包裹,质地较硬,充分游离胃后壁及胰腺周围组织,分离炎症黏连,于包裹组织内找到一长约 3 cm 鱼刺(如图 4)。


图 4: 术中所见:鱼刺穿透胃壁进入腹腔到达胰腺颈体部,同周围组织包裹黏连致密


同时胃前壁作 1.5 cm 大小切口探查,未见明显穿孔处,考虑胃小弯处周围组织粘连穿孔已封闭。


术中打开 Kocher 切口探查十二指肠水平部,未触及明显异物,遂术中联合消化内科,经胃前壁切口行内镜探查十二指肠肠腔,于水平部发现鱼刺已嵌入肠壁,予异物钳取出鱼刺,发现长约 2.5 cm(如图 5)。


图 5:十二指肠水平部鱼刺嵌入肠壁,内镜下取出


缝闭胃前壁,探查腹腔无明显出血后,局部大量水冲洗,胰腺上方及肝下各放置引流管一根,逐层关腹。 


小结


鱼刺是急诊室的「常客」,根据鱼刺的位置及病情不同可能需要五官科、消化科、胸外科、普外科等多学科处理。


运气好的可能花点小钱解决烦恼,运气不佳者可能需去内镜室/手术室体验,甚至有鱼刺引发重度感染、穿破主动脉等情况送了小命的,所以永远不要低估鱼刺的力量。


道路千万条,小命就一条,一旦误吞,及时就医!


电话:0351-5252561
公司地址:北京市朝阳区来广营西路55号瑞凰国际家居商城四层401号
Copyright©2018-2019 北京涵泰科技有限公司

技术支持:天祥网络